Cosmetic Procedures
Bonding
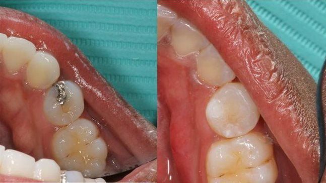
Dental composite or "bonding" is refers to tooth colored filling material that can be used to fill cavities, replace silver (amalgam) fillings, fill in gaps, or change the shape or shade of your teeth.A composite resin is used on the affected tooth or teeth. It is molded and sculpted over an adhesive gel that is placed on the tooth. After the resin has been applied an, LED light is used to harden the resin, which is then polished to give you a fresh, new smile.
Crowns, Onlays, And Veneers
Porcelain veneers, onlays, and crowns, can give you the beautiful, long-lasting smile of your dreams, and can also help strengthen your teeth. There are a number of different porcelains, or ceramics, available, and whether you've chipped, broken, cracked, or stained your existing teeth, these restor...More
Snap-On Smile
Snap-On Smile is a great product for patients looking to quickly and affordably improve their smiles without undergoing extensive dental procedures. It works exactly like it sounds: a new set of "teeth" are created that are placed over your current teeth by snapping them in place. You can have a beautiful new smile in just two quick and comfortable visits to our office. Your friends and family will be amazed by your transformation. You will be able to eat and drink with your Snap-On Smile, and c...More




